29+ Your Brain At Work Revised And Updated Pics

37+ Meningioma Woman Brain Tumor Symptoms US

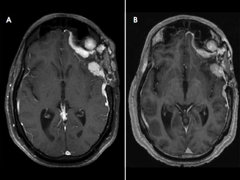
37+ Meningioma Woman Brain Tumor Symptoms US. Below is a list of central nervous system (cns). Symptoms depend on the location and occur as a result of the tumor pressing on nearby tissue.

Κωνσταντίνος Χ. Δαβανέλος: Μηνιγγίωμα Εγκεφάλου.
Κωνσταντίνος Χ. Δαβανέλος: Μηνιγγίωμα Εγκεφάλου. from 3.bp.blogspot.com
If the tumor is not causing any symptoms, observation is often recommended. They grow from tissue covering the brain and spinal cord and. Rare cases occur as intraventricular or pulmonary some of these asymptomatic tumors can be heavily calcified or ossified.

A tumor in the brain can put pressure on sensitive nerves and blood vessels.

Women with meningiomas often have headaches first thing in the morning. The symptoms of a meningioma can be triggered by various. Primary brain tumors include any tumor that starts in the brain. Close to one in five brain tumours are meningiomas.

Komentar